PROVIVO Lublin ✔️ Centrum MedycznePROVIVO ✔️ Centrum Medyczne

Kardiologia

Echo serca obciążeniowe  ( STRESS ECHO, Próba Dobutaminowa,   Echokardiograficzna Próba Obciążeniowa)

Ile kosztuje próba dobutaminowa?
Próba Dobutaminowa400zł

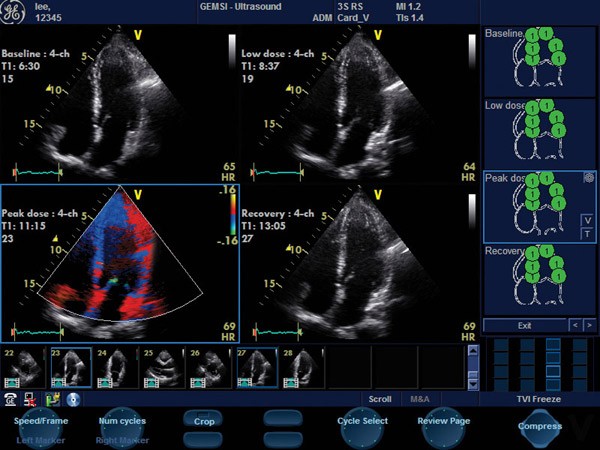
Próba dobutaminowa -  jest powszechnie uznaną, zasadniczo bezpieczną, nieinwazyjną metodą, polegającą na monitorowaniu pracy serca za pomocą echokardiografu przy zwiększającym się obciążeniu lekiem – DOBUTAMINĄ.

DOBUTAMINA jest  aminą presyjną, która minimalnie przyśpiesza pracę serca i podwyższa ciśnienie tętnicze krwi. Podawana jest do organizmu przy użuciu specjalistycznej pompy infuzyjnej.

Próba dobutaminowa ma na celu kontrolowaną prowokację ewentualnego niedokrwienia mięśnia sercowego oraz ocenę stopnia uszkodzenia mogącego świadczyć o chorobie wieńcowej jej zaawansowaniu oraz o konieczności wykonania koronarografii.

Echokardiografia dobutaminowa u chorych po zawale serca posiada wysoką wartość w ocenie żywotności określonego obszaru mięśnia serca oraz prognozowaniu powrotu funkcji skurczowej lewej komory u pacjentów leczonych pierwotną angioplastyką (PCI) lub metodą przęsłowania naczyń wieńcowych (CABG).

W naszym  środku wykonujemy badanie echo serca aparatem Vivid S 5

WSKAZANIA DO WYKONANIA BADANIA

  • Podejrzenie choroby wieńcowej u osób nie mogących wykonać wysiłku fizycznego.
  • Nieprawidłowe spoczynkowe EKG uniemożliwiające ocenę niedokrwienia (WPW, LBBB,  kardiostymulacja komory).
  • Wątpliwie ujemny lub dodatni wynik próby wysiłkowej EKG niezgodny z obrazem klinicznym.
  • Kwalifikacja do rozległych operacji niekardiochirurgicznych celem oceny ryzyka powikłań sercowo - naczyniowych.
  • Ocena istotności czynnościowej granicznych zmian w koronarografii.
  • Ocena żywotności uszkodzonego obszaru przed ewentualną angioplastyką lub pomostowaniem  naczyń wieńcowych.